DOCTEUR NISSAN ZOUHOUR - ENDODONTIE EXCLUSIVE
Chirurgien-Dentiste - Endodontiste - Paris 8
74 avenue Marceau, 75008 Paris
+33 1 40 76 08 63
DOCTEUR NISSAN ZOUHOUR - ENDODONTIE EXCLUSIVE
Chirurgien-Dentiste - Endodontiste - Paris 8

Cas d'endodontie à Paris 8


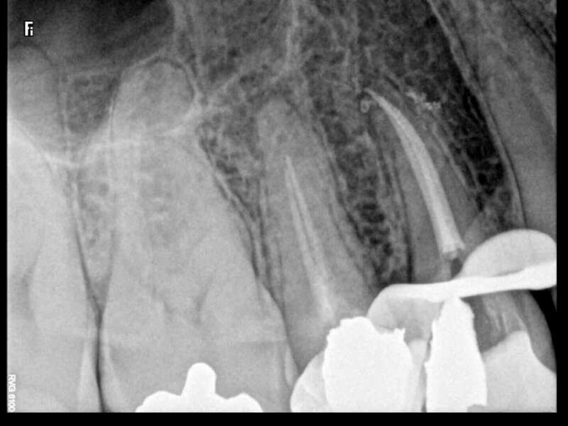
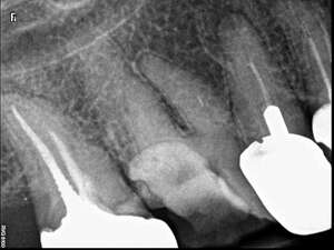
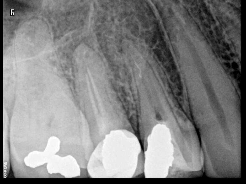
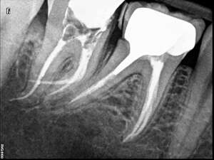
Cas du patient 1

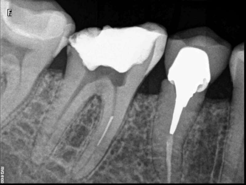
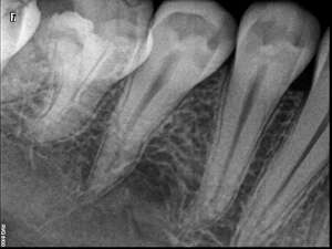
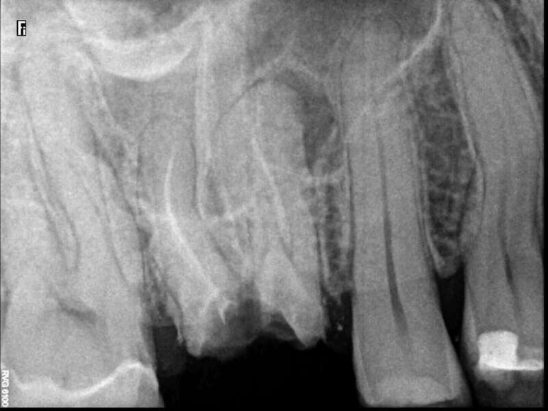
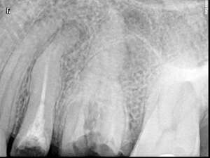
Cas du patient 2

Avant
Après

Cas du patient 3

Avant
Après

Cas du patient 4

Avant
Après

Cas du patient 5

Avant
Après

Cas du patient 6

Avant
Après

Cas du patient 7

Avant
Après

Cas du patient 8

Avant
Après

Cas du patient 9

Avant
Après

Cas du patient 10

Avant
Après

Articles similaires

Création par Webdentiste

Connexion